Wstęp:
Narkotyki (0,75 kg kokainy) próbowała przemycić w żołądku 28-letnia obywatelka Wenezueli, która przyleciała z Sao Paulo przez Zurich.
Podróżną usiłującą przemycić ¾ kg kokainy, zatrzymali 22 stycznia 2017 r. na warszawskim Lotnisku Chopina mazowieccy funkcjonariusze celni. Narkotyki próbowała przemycić w żołądku 28-letnia obywatelka Wenezueli, która przyleciała z Sao Paulo przez Zurich.
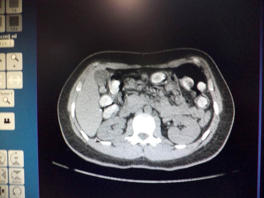
Podróżna została skierowana przez funkcjonariuszy Wydziału Zwalczania Przestępczości Izby Celnej w Warszawie do kontroli celnej z przejścia „nic do zgłoszenia" (tzw. zielonej linii). Zważywszy na czas trwania podróży i przede wszystkim jej kierunek, podróżna została poddana wstępnym testom na obecność narkotyków w ślinie, następnie w moczu. Mimo niejednoznacznego wyniku narkotestów, podjęto decyzję o przewiezieniu podróżnej do szpitala, celem przeprowadzenia badania lekarskiego na obecność narkotyków w organizmie. Wykonane w szpitalu badanie tomografii komputerowej przewodu pokarmowego, potwierdziło podejrzenia funkcjonariuszy celnych, że narkotyki przemycane są wewnątrz organizmu. Podróżna zatrzymana została w szpitalu, celem wydalenia kapsułek z narkotykiem.
Przemycana w żołądku kokaina zapakowana była w 80 kapsułek o łącznej wadze 0,75 kg. Wewnątrz każdej znajdowało się około 9 g narkotyku.
Czarnorynkowa wartość przemycanych narkotyków to blisko 700 tys. złotych. W detalu, z takiej ilości narkotyków przy założeniu 100% czystości, można by wyprodukować nawet 4 tys. „działek", które już nie trafią na nasze ulice.
Sprawę prowadzi Referat Dochodzeniowo-Śledczy Izby Celnej w Warszawie pod nadzorem Prokuratury Rejonowej Warszawa-Ochota. Podróżna usłyszała zarzuty, natomiast sąd wydał postanowienie w przedmiocie tymczasowego aresztu na okres trzech miesięcy.
Za próbę przemytu narkotyków, podróżnej przemytniczce grozi do 15 lat pozbawienia wolności.




Brak satysfakcyjki z dostępnego towaru, dobry humor po kilku piwach
Witam, przeczytałem wywołujący wrażenie opis Podróżnika. Wrażenie tym większe, że bezpośrednio dotyka moich doświadczeń i mocno daje do myślenia, że równie dobrze dziś mogłoby nie być jednego z nas.
Lata 90-te, nadmorska miejscowość Dąbki koło Wejherowa. Powiedziałem moim towarzyszom, że ich towar w postaci grassu i haszyszu w ogóle na mnie nie działa i czy nie mogliby mi dać czegoś konkretniejszego. No to mi dali :))))) Pokazali gdzie rośnie :>
Ławka, dom. Halucynacje, schizy, piękny świat, wyluzowanie, brak zmęczenia.
Godzina ok. 14.50
Odebrałem 4 gramy przetworzonej substancji od znajomego,
wziąłem dodatkowo na wszelki wypadek ze sobą dwóch dodatkowych przyjaciół i zabrałem się do eksperymentowania. (Nazwijmy ich D i M) Usiedliśmy na ławce za blokowiskami, głównie tam gdzie ludzie nie chodzą. Otworzyłem zawiniętą w folię substancje, a następnie przystąpiłem do wysypania wszystkiego na kartkę.
Godzina ok. 15.10
Komentarze